Camryn Owen
3 weeks ago"Beyond pleased with this lovely dental clinic. They fitted me in last minute and were so accommodating. Everyone is so lovely and friendly with 10/10 services. Can't recommend enough!"
Severe jaw pain, swelling, and can't open your mouth? An infected wisdom tooth needs urgent assessment and treatment, which may include extraction. Same-day appointments available.
Treatment from £125
Can't open your mouth, eat, or sleep because of excruciating wisdom tooth pain? Impacted wisdom teeth rarely resolve completely on their own. The longer infections are left, the more likely they are to recur or worsen, and the infection can spread to your jaw and neck. If you're experiencing facial swelling or can't swallow, this is a dental emergency.
We provide same-day emergency wisdom tooth extraction at our South Kensington clinic. Using digital X-rays, we'll assess the position and remove the problem tooth quickly, often within 30 minutes. With advanced numbing and optional sedation, you'll feel relief immediately.
The most common cause of wisdom tooth pain is a condition called Pericoronitis. This happens when a wisdom tooth only partially breaks through the gum. A flap of gum tissue (operculum) remains covering part of the tooth.
Food and bacteria get trapped under this flap, creating a warm, moist environment for infection to breed. It is almost impossible to clean under this flap with a toothbrush. The gum becomes red, swollen, and extremely painful.
Often, the upper wisdom tooth bites down onto this swollen gum, traumatizing it further.
Dull, throbbing ache at the back of the jaw.
The gum around the tooth is red and angry; facial swelling may occur.
Difficulty or pain when opening your mouth.
Bad breath or a bad taste due to pus leaking from the gum.
Pain shooting up to the ear or down the neck.
Tender lumps under the angle of the jaw.
If it is the first time you have had pain, we may try to settle it without extraction. We flush out the debris from under the gum flap using antiseptic/saline irrigation and may prescribe a course of antibiotics (like Metronidazole) if there is systemic infection.
In some cases, we can surgically remove the flap of gum (operculum) covering the tooth to make it easier to clean and prevent bacteria from getting trapped.
If the tooth is impacted, non-functional, or causing recurrent infections, extraction is the best option.
Rinse gently with warm salty water several times a day to help keep the area clean.
Use Corsodyl mouthwash (short term) to reduce bacterial load.
Anti-inflammatory painkillers such as ibuprofen are often very effective for wisdom tooth pain if they are suitable for you. Always follow the instructions on the packet and check with a pharmacist, dentist or GP if you are unsure what you can take.
Eat soft foods and chew on the other side.
* Prices are indicative. A full treatment plan will be provided after assessment.
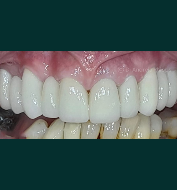
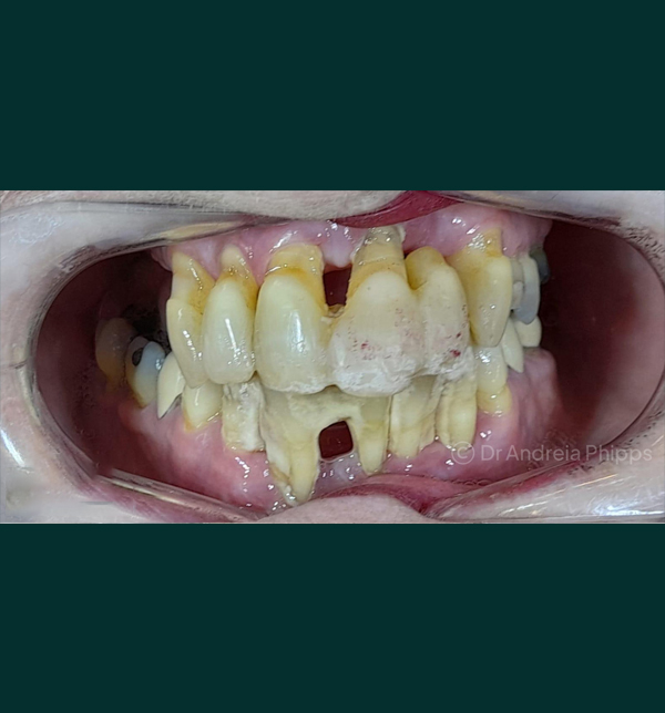
Examples of our emergency restorative work.




Learn the critical warning signs that require urgent dental care.
Comprehensive GuideEverything you need to know about dental emergencies in London.
Pricing InfoTransparent pricing guide for emergency dental treatments.
Dental emergencies rarely resolve on their own. Early intervention saves teeth and prevents higher costs later.
Treatment starts from
£125
Experienced professionals dedicated to your care.

Principal Dentist and Clinical Director
Experienced Principal Dentist focused on prevention and complex surgical treatments.
Book Your Visit
Dentist
Highly experienced in conservative dentistry and patient-centred care.
Book Your Visit
Dentist
Passionate about cosmetic and minimally invasive dentistry.
Book Your Visit
Dentist
Has a passion for comfortable, long-lasting prosthodontics with a gentle approach.
Book Your Visit
Dentist
Expert in prosthetics, cosmetic dentistry, and implant-supported restorations.
Book Your Visit
Dentist
Dedicated to minimally invasive and cosmetic treatments to boost confidence.
Book Your Visit
Dental Hygienist and Therapist
Award-winning Clinical Director committed to first-class hygiene therapy.
Book Your Visit
Dental Hygienist
Dedicated to promoting oral health and patient comfort in a warm environment.
Book Your Visit"Beyond pleased with this lovely dental clinic. They fitted me in last minute and were so accommodating. Everyone is so lovely and friendly with 10/10 services. Can't recommend enough!"
"Layla was so kind during my appointment and so considerate with my teeth. I loved how she explained the treatment, made me feel comfortable, and created a safe space. Thank you!"
"Great treatment with Dr Andreia. Had composite bonding done and can honestly highly recommend it. Perfectly blends with my natural shade and no one can tell anything was done. Thank you for giving my confidence back."
"Great experience at South Kensington Medical and Dental Clinic. Kind staff, quick appointment, and very fast results. Everything was smooth and stress-free. Highly recommend."
"Luciana, the Brazilian nurse, is the best. Very kind and super efficient. She took my blood smoothly and made it the best experience. Highly recommend asking for her."
"Amazing experience at this dental practice. Jack really stood out. He was engaging, personable, and made the session comfortable. The cleaning was quick and efficient. 100% recommend."
"From the moment I arrived, the staff were warm and professional. The clinic is exceptionally clean and modern. The hygienist was gentle and thorough. Highly recommend."
"Beyond pleased with this lovely dental clinic. They fitted me in last minute and were so accommodating. Everyone is so lovely and friendly with 10/10 services. Can't recommend enough!"
"Layla was so kind during my appointment and so considerate with my teeth. I loved how she explained the treatment, made me feel comfortable, and created a safe space. Thank you!"
"Great treatment with Dr Andreia. Had composite bonding done and can honestly highly recommend it. Perfectly blends with my natural shade and no one can tell anything was done. Thank you for giving my confidence back."
"Great experience at South Kensington Medical and Dental Clinic. Kind staff, quick appointment, and very fast results. Everything was smooth and stress-free. Highly recommend."
"Luciana, the Brazilian nurse, is the best. Very kind and super efficient. She took my blood smoothly and made it the best experience. Highly recommend asking for her."
"Amazing experience at this dental practice. Jack really stood out. He was engaging, personable, and made the session comfortable. The cleaning was quick and efficient. 100% recommend."
"From the moment I arrived, the staff were warm and professional. The clinic is exceptionally clean and modern. The hygienist was gentle and thorough. Highly recommend."
We are conveniently located next to South Kensington Tube Station.
Tube (Nearest Station)
South Kensington Station (District, Circle, and Piccadilly lines) is just a 2-minute walk.
Bus
Routes 14, 74, 414, C1 stop nearby on Old Brompton Road.
Parking
Metered street parking on Thurloe Place & Exhibition Road.